Pacienții noștri spun povestea Perlo Dental Clinic cel mai bine
Foarte mulțumit de serviciile Perlo Dental Clinic.
Doamna doctor Andreea Pană este profesionistă și rapidă.
Vă mulțumesc!

Sunt mulțumit de serviciile profesioniste oferite de clinica Perlo. Fiica mea are o interacțiune bună cu Dr. Simona Moraru iar calitatea tratamentelor pe care le-a urmat a fost foarte bună și cu rezultate pe măsură! Recomand cu încredere!

Prima dată în 40 de ani am putut să zâmbesc după tratamentul ortodontic. După ani de zile în care am ezitat dacă să port un aparat dentar, acum concluzionez că acesta a fost cel mai bun lucru pe care l-am facut pentru mine vreodată.

Un cabinet ultramodern cu medici competenți care îți explică clar detaliile intervențiilor.
Totul cu un zâmbet care la plecare se transferă și pacientului.


PERLO DENTAL CLINIC
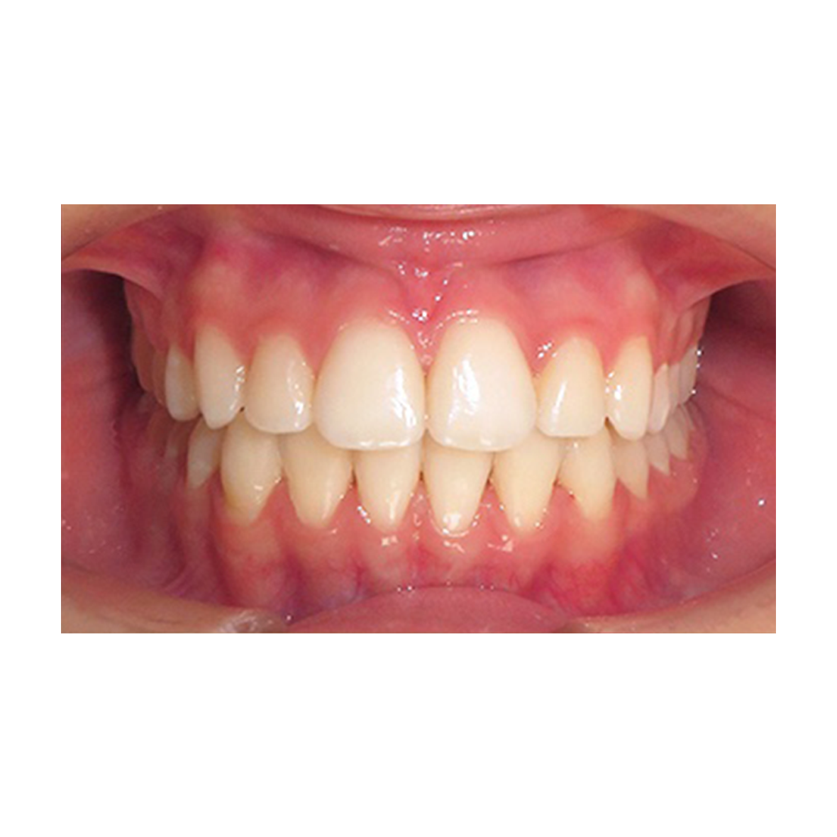
Zâmbetul e parte din povestea vieții tale
La Perlo Dental Clinic, fiecare detaliu contează. Te însoțim cu grijă și profesionalism, pentru ca zâmbetul tău să rămână luminos, sănătos și autentic, exact așa cum meriți.
iStoma EMBED INSERT HERE
Perlo Dental Clinic
Zâmbete readuse la adevărata lor strălucire
La Perlo Dental Clinic nu pretindem perfecțiunea și nici schimbările grăbite. Credem în transformările firești, obținute cu răbdare și consecvență. Pași mici, dar siguri, care redau fiecărui zâmbet autenticitatea, armonia și puterea de a spune cine ești cu adevărat.


Tot ce are nevoie zâmbetul tău, într-un singur loc
La Perlo Dental Clinic nu pretindem perfecțiunea și nici schimbările grăbite. Credem în transformările firești, obținute cu răbdare și consecvență. Pași mici, dar siguri, care redau fiecărui zâmbet autenticitatea, armonia și puterea de a spune cine ești cu adevărat.
Vă mulțumim pentru toate recenziile care ne arată că munca noastră contează.
Publicat pe Constantina Rizescu9 Octombrie 2025Trustindex verifică că sursa originală a recenziei este Google. Sunt mulțumităPublicat pe Bianca Predut1 Octombrie 2025Trustindex verifică că sursa originală a recenziei este Google. O prima întâlnire grozava cu dna dr Simona Moraru. Mi-a explicat cu foarte multa răbdare ceea ce se petrece acum cu mandibula și ce putem face pentru a corecta o situație care îmi provoacă disconfort de câțiva ani. Îmi place felul dânsei de a fi, clară, ancorata, directa. Recomand cu drag!Publicat pe Roberto Karlos Karlos1 Octombrie 2025Trustindex verifică că sursa originală a recenziei este Google. Cele mai dulci Doamne Doctore Inclusiv Asistente ,de la receptie pana la Medici nota 10 !!!!!!!Publicat pe Alexandru Ariciuc29 Septembrie 2025Trustindex verifică că sursa originală a recenziei este Google. A fost o experienta placuta.Doamna doctor Munteanu Elena a lucrat cu Multa grija si atentie, si cu o atitifine foarte profesionala si UN vibe positive. Staff foarte friendly. Locatia curata si ingrijita. Recomand cu caldera, Mai revin ! Multumesc!Publicat pe Otilia Alexandru Trifan22 Septembrie 2025Trustindex verifică că sursa originală a recenziei este Google. Profesionalism la cele mai inalte standarde din toate punctele de vedere, materiale şi aparatura de calitate, personal de exceptie, solutii optime alese in acord cu pacientul.Publicat pe Omer Tayfun19 Septembrie 2025Trustindex verifică că sursa originală a recenziei este Google. Scos molari de minte, reparat cariile de sus, okSe afișează numai 5 recenzii cu stele